
Lauren D. Mileo, MD
- Nonsurgical Cosmetic Procedures
- Botox & Dermal Fillers
- Oculofacial Plastic Surgery
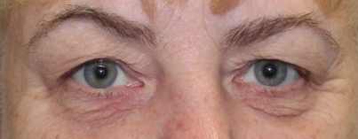
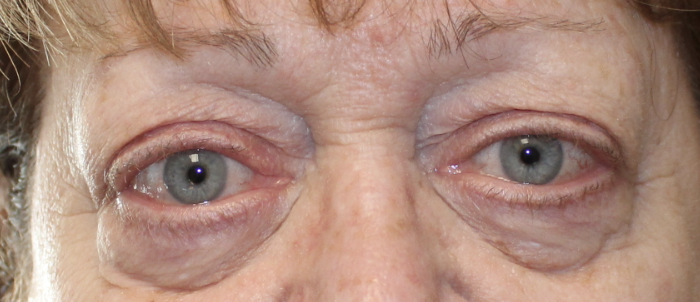
Before & After Photos



























































































Locations
Eye Doctors & Surgeons – East Patchogue
250 Patchogue-Yaphank Road Suite 1 East Patchogue, NY 11772 Get DirectionsProcedures
- Upper Eyelid Blepharoplasty
- Lower Eyelid Blepharoplasty
- Endoscopic Brow/Forehead Lift
- Thyroid Eye Disease/Orbital Decompression
- Ectropion
- Entropion
- Eyelid Lesions & Skin Cancer
- Retraction Repair
- Ptosis Repair
- Tear Duct Surgery
- Endoscopic Dacryocystorhinostomy
- Eyelid Reconstruction
- Botox & Fillers
- Skin Tightening with Fractional CO2 Laser
- Orbital Tumors and Fractures
Year joined staff: 2024
- Columbia University
- SUNY Downstate College of Medicine – Medical Degree
- NYU Grossman School of Medicine
– Ophthalmology
- NYU Winthrop Hospital – Internal Medicine
- American Academy of Ophthalmology
Women in Ophthalmology - American Society of Ophthalmic Plastic and Reconstructive Surgery
- Phi Beta Kappa Society
- Alpha Omega Alpha Medical Honor Society
- Valedictorian of Locust Valley High School
- Summa Cum Laude at Columbia Univeristy
- John P. Craig Award for Excellence in Microbiology and Immunology Recipient at SUNY Downstate College of Medicine
- Consultants in Ophthalmic & Facial Plastic Surgery- Ophthalmic Plastic & Reconstructive Surgery (ASOPRS)
Lauren D. Mileo, MD is a board certified ophthalmologist specializing in oculoplastic surgery. She treats conditions of the eyelids, tear duct, and orbit along with cosmetic surgery of the eyelids and eyebrows.
Raised on Long Island, Dr. Mileo is a graduate of Locust Valley High School where she was valedictorian. After graduating summa cum laude at Columbia University. Dr. Mileo earned her medical degree from the State University of New York Downstate Medical Center College of Medicine. She then completed her residency in Ophthalmology at NYU Grossman School of Medicine, where she received comprehensive training in the diagnosis and treatment of a wide range of eye conditions.
Driven by her commitment to excellence, Dr. Mileo pursued specialized training through a prestigious fellowship in Ophthalmic Plastic and Reconstructive Surgery accredited by the American Society of Ophthalmic Plastic and Reconstructive Surgery (ASOPRS). During her fellowship at Consultants in Ophthalmic and Facial Plastic Surgery in metro Detroit, she honed her skills in advanced surgical techniques for both functional and cosmetic procedures.
Dr. Mileo has a passion for providing personalized care of patients’ eyelid conditions. As a former professional ballet dancer, she brings artistry and precision to each surgery she performs. In her spare time, Dr. Mileo enjoys cooking, Peloton, dancing, hiking, and walking her dog. She is fluent in English and Italian.