
Sana Ali, MD
- Nonsurgical Cosmetic Procedures
- Botox & Dermal Fillers
- Oculofacial Plastic Surgery
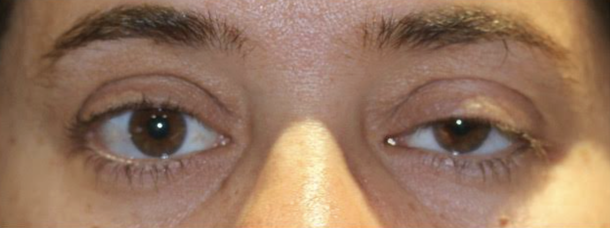
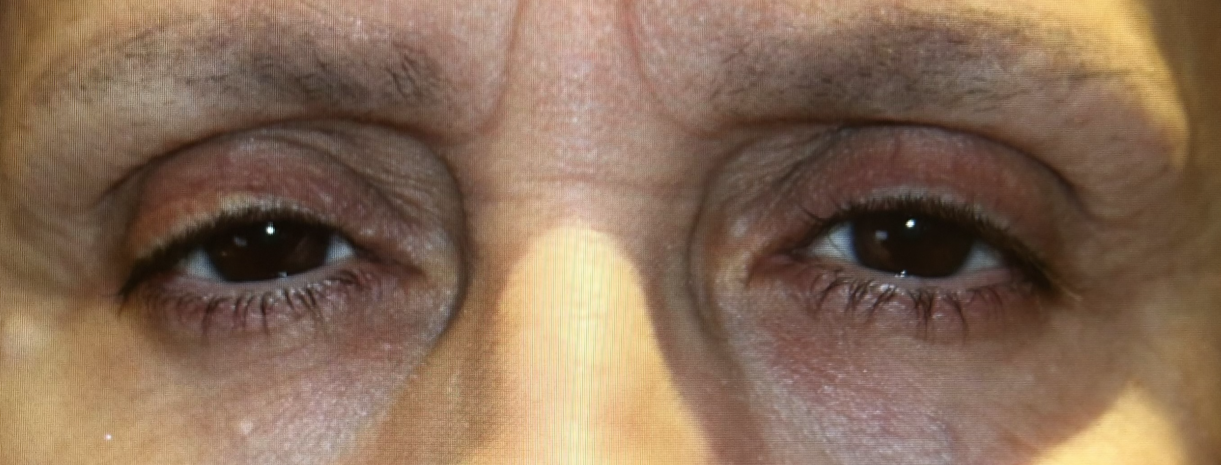
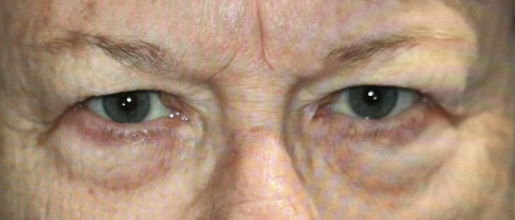
Before & After Photos



















































Locations
Procedures
- Cosmetic Eyelid and Facial Rejuvenation Surgery
- Upper Eyelid Blepharoplasty and Eyelid Lift (Drooping Lids)
- Lower Eyelid Blepharoplasty (Lower Eyelid Bags)
- Endoscopic Brow Lift
- Browlift
- Droopy Eyelid (Ptosis) Repair
- Midface Lift (Cheek Lift/Augmentation)
- Non-surgical Rejuvenation (Botox, Filler)
- Non-surgical Botox Brow Lift and Brow Contouring
- Facial Reconstructive Surgery
- Lacrimal Surgery (Tear Drainage Surgery)
- Orbital Surgery (Tumor Biopsy, Decompression for Thyroid Eye Disease)
- Pediatric Oculoplastic Surgery (Congenital Ptosis, Nasolacrimal Duct Obstruction, Eyelid Malposition)
- Crows Feet
- Lip Lift
Year joined staff: 2024
Fellowship
- University of Pennsylvania/Children’s Hospital of Philadelphia – Oculoplastic and Orbital Surgery ASOPRS fellowship
Education
- Siena College – Bachelor of Arts, major in Biology
- Albany Medical College – Doctor of Medicine
Residency
- Albany Medical College – Ophthalmology
Internship
- Albany Medical College – Internal Medicine
- American Academy of Ophthlmology (AAO)
- Alpha Omega Alpha (AOA)
- American Society of Ophthalmic Plastic and Reconstructive Surgery (ASOPRS)
- Associate Professor of Ophthalmology at Yale New haven hospital
- Chief Resident of Ophthalmology
- OKAP Academic Achievement Award 2017 – Albany Medical College
- Albany Medical Center Ophthalmology Achievement Award
- Janet M. Glasgow Memorial Achievement Citations Award
- The Kenneth M. Archibold Prize
Alpha Omega Alpha
Dr. Ali is a double board-certified Ophthalmologist and Oculofacial Plastic Surgeon. She completed her medical education and residency at Albany Medical College in upstate NY, where she developed a keen interest in Orbital and Oculoplastic surgery. Dr. Ali was drawn to this specialty because of the diverse range of surgical approaches and procedures involved. She particularly enjoys working with both adults and children, as it allows her to provide care and make a positive impact on their lives, whether it be functionally or aesthetically.
Following her residency, Dr. Ali pursued a two-year fellowship in Orbital and Oculofacial plastic surgery at the University of Pennsylvania and the Children’s Hospital of Philadelphia. She considers it a privilege to have trained alongside some of the top mentors in her subspecialty, as they have instilled in her the confidence to tackle any clinical or surgical challenge.
Her expertise lies in cosmetic eyelid and facial surgery, including procedures such as blepharoplasty, brow surgery, ptosis or droopy eyelid surgery, and midface/cheek lift. Dr. Ali is also skilled in non-surgical eyelid and facial rejuvenation techniques using botox, lasers, peels, and dermal fillers to address concerns such as eyelid bags, dark circles, wrinkles, facial scars, and signs of aging. Additionally, she specializes in functional surgeries like lacrimal surgery (dacryocystorhinostomy) and orbital surgery for conditions like thyroid eye disease and tumor biopsy. Dr. Ali also has a special interest in facial and eyelid reconstruction following Mohs procedures, which she explored in her fellowship thesis.
Outside of her professional life, Dr. Ali enjoys traveling, running, fishing, and fencing.